Une femme âgée de 33 ans consulte
aux urgences pour une dyspnée d'effort et une douleur thoracique apparues
depuis plusieurs heures et qui ne cèdent pas. Le seul traitement pris par la
patiente est une contraception orale par une pilule oestroprogestative
mini-dosée. L'interrogatoire rapporte la survenue d'une douleur thoracique
droite il y a 12 heures, qui est permanente et ne présente pas d'irradiation
particulière. L'auscultation cardiaque et pulmonaire est normale. La pression
artérielle est à 110/65 mmHg avec une fréquence cardiaque à 105/min. Il n'y a
pas de cyanose. Les mollets sont souples et indolores. Il existe un discret
œdème du membre inférieur droit. Elle pèse
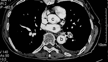
ICONO5942FIG1] 
Préciser les structures
anatomiques identifiées par les lettres a, b, c.
Quel(s) est(sont) le(s) signe(s)
scannographique(s) en faveur de ce diagnostic sur le cliché ci-joint ?
On met en évidence une thrombose
veineuse profonde du membre inférieur droit. Un traitement par Enoxaparine à dose curative est débuté en urgence. Décrivez les modalités
du relais par des anti-vitamines K ?
Quelles autres mesures thérapeutiques
proposez-vous ?
Trois mois plus tard, Mme M.
consulte pour une grossesse débutante. Elle est à 8 semaines d'aménorrhée. Son
examen clinique est normal. L'échographie pelvienne met en évidence une
grossesse intra-utérine évolutive.
Quelle est votre gestion du
traitement anticoagulant ?
La grossesse est de déroulement
normal jusqu'à 28 SA terme auquel la patiente est hospitalisée en urgence en
maternité pour œdèmes des membres inférieurs et céphalées. La pression
artérielle est à 180/115 mmHg, la fréquence cardiaque à 95/min, et
Quels sont les 2 traitements
médicamenteux indiqués pour la prise en charge maternelle en urgence et leur
objectif ?
Quelle va être l’attitude vis-à-vis
du foetus et de la grossesse ?
Quelle(s) maladie(s) sous-jacente(s)
doit-on rechercher chez cette jeune femme ?
***