M-06 1
Un homme de 31 ans,
manutentionnaire, consulte pour une douleur aiguë de l'oeil
droit, d'apparition spontanée. Il se plaint de moins bien voir de cet oeil et d'être très ébloui par la lumière. C'est le premier
épisode de ce type.
Par ailleurs, depuis quelques
mois, il a souffert à plusieurs reprises de douleurs lombo-fessières,
insomniantes non améliorées par le repos, irradiant
jusqu'aux genoux, tantôt à droite tantôt à gauche, pour lesquelles il prenait
du paracétamol sans efficacité notable. Le patient n’a aucun autre antécédent
pathologique, aucun autre traitement médicamenteux, ni habitude toxique. Taille
: 1,78 m ; Poids : 70 kg. L’état général est bon par ailleurs.
Décrivez l'iconographie N°1, que
suspectez-vous ?

Complétez l'examen
ophtalmologique, que doit comprendre cet examen et qu’en attendez-vous dans ce
contexte ?
Votre diagnostic ophtalmologique
est confirmé, quelle maladie sous-jacente suspectez-vous, justifiez.
La distance main-sol est de 30 cm
et l'indice de Schöbert est à 10 + 3 cm. Il n'y a pas
d'autre atteinte articulaire. Que signifient ces données cliniques ?
Quelles explorations biologiques
et radiologiques indispensables de première intention demandez-vous pour
confirmer votre hypothèse principale ? Argumentez.
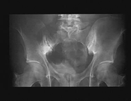
Vous avez prescrit l'examen
suivant :

Décrivez-le. Avez-vous besoin
d'un autre examen morphologique ?
Le diagnostic suspecté
cliniquement est confirmé. Quelle doit être la prise
en charge?
La maladie générale évolue défavorablement
avec ankylose rachidienne sévère. Le patient a de plus en plus de difficultés
dans son travail. Quelles mesures sociales sont envisageables ?
M-06 2