M-08 1
Une femme
de 65 ans, ex-fumeuse (40 paquets-années) consulte pour des douleurs
thoraciques droites et une dyspnée d'effort progressivement croissante évoluant
depuis 4 mois. Elle a une toux sèche depuis 2 mois. Elle a comme antécédent
particulier un cancer du sein droit opéré à l'âge de 60 ans (tumorectomie + curage axillaire). L'étude
anatomopathologique montrait un adénocarcinome canalaire
infiltrant de 0,8 cm de grand axe sans envahissement tumoral des ganglions. Le
traitement chirurgical a été suivi d'une irradiation du sein, puis d'un
traitement par tamoxifène (Nolvadex®). Elle a
travaillé comme ouvrière dans un établissement de fabrication de tresses et
cordons isolants en amiante de 25 à 45 ans, puis comme femme de ménage dans un
hôtel jusqu'à sa retraite. A l'examen, la patiente est apyrétique. Elle a perdu
5 kg au cours des deux derniers mois. L'auscultation trouve une abolition du
murmure vésiculaire à la base droite. Le reste de l'examen est normal. Une
radiographie thoracique est effectuée.


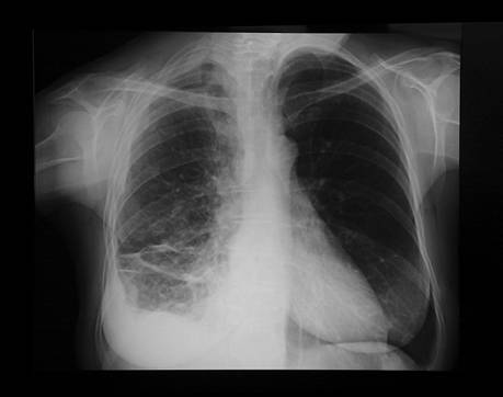
Décrivez
les anomalies et interprétez la radiographie thoracique.
Quel
suivi gynécologique aurait-elle dû avoir depuis 5 ans, dans le cadre de son
cancer ?
Argumentez
les éléments en faveur de vos trois hypothèses diagnostiques les plus probables
?
Une
ponction pleurale est effectuée. Le liquide est citrin. Le taux de protides est
à 40 g/L. L'examen cytologique trouve 2000 éléments/ml. La formule note 50 % de
lymphocytes, 10 % de polynucléaires neutrophiles non altérés et 40 % de
cellules mésothéliales. Interprétez les résultats de la
ponction pleurale.
Quelle
est l'hypothèse à évoquer en premier par argument de fréquence ?
Un examen
TDM du thorax est réalisé

Décrivez les anomalies de ces
coupes tomodensitométriques.
Quels
sont les quatre examens que vous proposez en première intention à visée
étiologique ?
Quelles
sont les explications précises que vous donnez à la patiente sur les modalités
de réalisation de chacun de ces examens et ce que vous en attendez ?
La
patiente vous demande si son affection peut être d'origine professionnelle.
Quel(s)
diagnostic(s) précis est(sont) compatible(s) avec
cette hypothèse et peut(peuvent) faire l'objet d'une reconnaissance en maladie
professionnelle ? Justifiez.
Le
diagnostic retenu est celui d’une pathologie professionnelle. Quelle(s)
démarche(s) médico-administrative(s) est(sont) à entreprendre dans ce cas ? . Qui peut effectuer
ces démarches ?
M-08 3